Logo video2dn
  • Сохранить видео с ютуба
  • Категории
    • Музыка
    • Кино и Анимация
    • Автомобили
    • Животные
    • Спорт
    • Путешествия
    • Игры
    • Люди и Блоги
    • Юмор
    • Развлечения
    • Новости и Политика
    • Howto и Стиль
    • Diy своими руками
    • Образование
    • Наука и Технологии
    • Некоммерческие Организации
  • О сайте

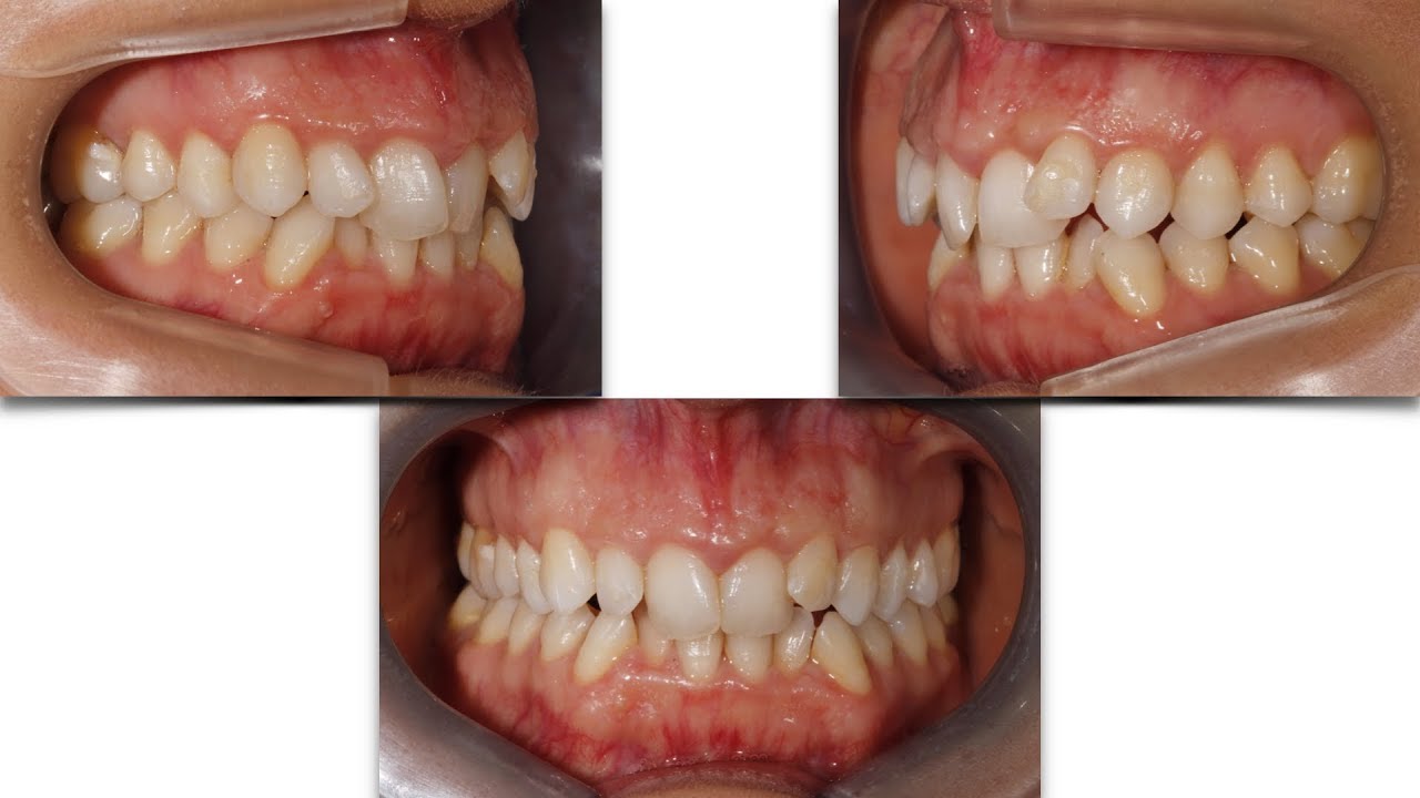
Скачать или смотреть Aligners. Severe Class II, Deepbite and crowding. Invisalign.

  • Diego Peydro
  • 2019-03-06
  • 2177
Aligners. Severe Class II, Deepbite and crowding. Invisalign.
  • ok logo

Скачать Aligners. Severe Class II, Deepbite and crowding. Invisalign. бесплатно в качестве 4к (2к / 1080p)

У нас вы можете скачать бесплатно Aligners. Severe Class II, Deepbite and crowding. Invisalign. или посмотреть видео с ютуба в максимальном доступном качестве.

Для скачивания выберите вариант из формы ниже:

  • Информация по загрузке:

Cкачать музыку Aligners. Severe Class II, Deepbite and crowding. Invisalign. бесплатно в формате MP3:

Если иконки загрузки не отобразились, ПОЖАЛУЙСТА, НАЖМИТЕ ЗДЕСЬ или обновите страницу
Если у вас возникли трудности с загрузкой, пожалуйста, свяжитесь с нами по контактам, указанным в нижней части страницы.
Спасибо за использование сервиса video2dn.com

Описание к видео Aligners. Severe Class II, Deepbite and crowding. Invisalign.

Check the video to learn how to solve a severe case presenting class II, Deepbite, crowding. The power of the aligners

Комментарии

Информация по комментариям в разработке

Похожие видео

  • Invisalign Tips: How to solve a severe Class II with Invisalign and class II elastics
    Invisalign Tips: How to solve a severe Class II with Invisalign and class II elastics
    10 лет назад
  • Protocols for expansion using Invisalign aligners
    Protocols for expansion using Invisalign aligners
    6 лет назад
  • [English] Invisalign Deep Bite, Class II div2 Dr. Kenji Ojima #invisalign
    [English] Invisalign Deep Bite, Class II div2 Dr. Kenji Ojima #invisalign
    Трансляция закончилась 4 года назад
  • Исправление прикуса. Брекеты, элайнеры, до и после.
    Исправление прикуса. Брекеты, элайнеры, до и после.
    6 лет назад
  • Как и когда использовать прозрачные элайнеры Invisalign?
    Как и когда использовать прозрачные элайнеры Invisalign?
    4 года назад
  • Learn Invisalign. The ultimate protocols to solve severe cases with aligners
    Learn Invisalign. The ultimate protocols to solve severe cases with aligners
    6 лет назад
  • Коррекция глубокого прикуса II класса с помощью системы Invisalign
    Коррекция глубокого прикуса II класса с помощью системы Invisalign
    8 лет назад
  • Deep-bite correction with Clear Aligner lecture with Dr Derek Mahony
    Deep-bite correction with Clear Aligner lecture with Dr Derek Mahony
    2 года назад
  • Invisalign aligners. IZC screws. Attachments and IPR
    Invisalign aligners. IZC screws. Attachments and IPR
    6 лет назад
  • Watch Out for THIS with Invisalign and Braces
    Watch Out for THIS with Invisalign and Braces
    1 год назад
  • #orthodontics  #treatment  planning Part 4-  Class 2 div 2 malocclusion, Orthodontic Courses Lecture
    #orthodontics #treatment planning Part 4- Class 2 div 2 malocclusion, Orthodontic Courses Lecture
    3 года назад
  • Class II open bite correction with aligners and IZC screws|【Chris Chang Ortho】CC564
    Class II open bite correction with aligners and IZC screws|【Chris Chang Ortho】CC564
    5 лет назад
  • Using Invisalign to Treat Deep Overbite
    Using Invisalign to Treat Deep Overbite
    6 лет назад
  • Может ли Invisalign исправить перекус и другие проблемы с прикусом? | Premier Orthodontics
    Может ли Invisalign исправить перекус и другие проблемы с прикусом? | Premier Orthodontics
    5 лет назад
  • Invisalign ClinCheck - The 1 Thing to do for Deep Bite predictability
    Invisalign ClinCheck - The 1 Thing to do for Deep Bite predictability
    2 года назад
  • Invisalign Openbite Class III Lower Molar Distalization【インビザライン開咬症例】
    Invisalign Openbite Class III Lower Molar Distalization【インビザライン開咬症例】
    6 лет назад
  • Spark aligners-3D software demonstration by Dr Vandana Katyal for a Class 2, deep bite, teen case
    Spark aligners-3D software demonstration by Dr Vandana Katyal for a Class 2, deep bite, teen case
    4 года назад
  • Power Ridges®, Bite Ramps®, Bite Turbo and Optimized Attachments®
    Power Ridges®, Bite Ramps®, Bite Turbo and Optimized Attachments®
    5 лет назад
  • Orthodontic treatment of Class II division 2, Damon ,deep bite -anterior bite turbo by Dr. Amr Asker
    Orthodontic treatment of Class II division 2, Damon ,deep bite -anterior bite turbo by Dr. Amr Asker
    9 лет назад
  • Severe crowding, severe rotations, Class II solved with aligners
    Severe crowding, severe rotations, Class II solved with aligners
    6 лет назад
  • О нас
  • Контакты
  • Отказ от ответственности - Disclaimer
  • Условия использования сайта - TOS
  • Политика конфиденциальности

video2dn Copyright © 2023 - 2025

Контакты для правообладателей video2contact@gmail.com