Logo video2dn
  • Сохранить видео с ютуба
  • Категории
    • Музыка
    • Кино и Анимация
    • Автомобили
    • Животные
    • Спорт
    • Путешествия
    • Игры
    • Люди и Блоги
    • Юмор
    • Развлечения
    • Новости и Политика
    • Howto и Стиль
    • Diy своими руками
    • Образование
    • Наука и Технологии
    • Некоммерческие Организации
  • О сайте

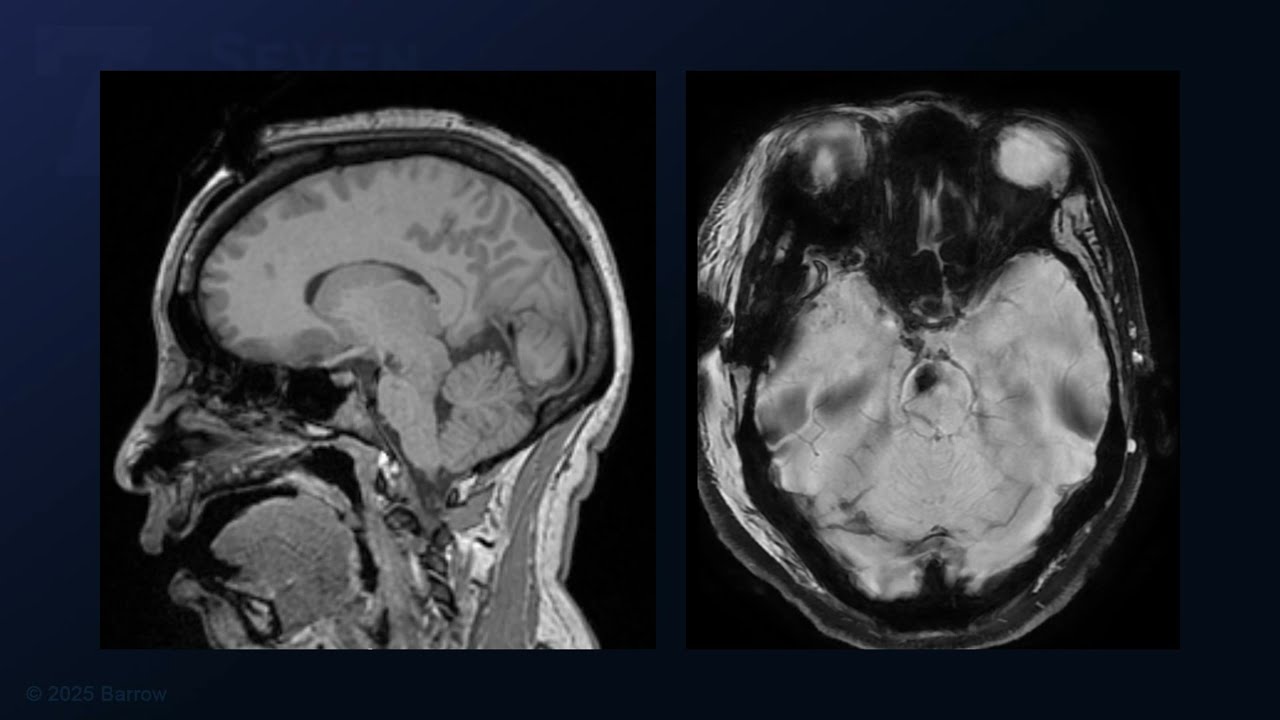
Скачать или смотреть Orbitozygomatic Craniotomy and Transsylvian-Transpeduncular Approach for Midbrain Cav Mal Resection

  • Barrow Neurological Institute
  • 2025-12-02
  • 1216
Orbitozygomatic Craniotomy and Transsylvian-Transpeduncular Approach for Midbrain Cav Mal Resection
aneurysm and cerebrovascular programcav malcav mal resectioncavernous malformationcavernous malformation resectiondepartment of neurosurgerydr. michael lawtonmidbrain cavernous malformationorbitozygomatic craniotomypeduncular cavernous malformationpeduncular midbrain cavernous malformationseven seriestranspeduncular approachtranssylvian approachtranssylvian-transpeduncular approach
  • ok logo

Скачать Orbitozygomatic Craniotomy and Transsylvian-Transpeduncular Approach for Midbrain Cav Mal Resection бесплатно в качестве 4к (2к / 1080p)

У нас вы можете скачать бесплатно Orbitozygomatic Craniotomy and Transsylvian-Transpeduncular Approach for Midbrain Cav Mal Resection или посмотреть видео с ютуба в максимальном доступном качестве.

Для скачивания выберите вариант из формы ниже:

  • Информация по загрузке:

Cкачать музыку Orbitozygomatic Craniotomy and Transsylvian-Transpeduncular Approach for Midbrain Cav Mal Resection бесплатно в формате MP3:

Если иконки загрузки не отобразились, ПОЖАЛУЙСТА, НАЖМИТЕ ЗДЕСЬ или обновите страницу
Если у вас возникли трудности с загрузкой, пожалуйста, свяжитесь с нами по контактам, указанным в нижней части страницы.
Спасибо за использование сервиса video2dn.com

Описание к видео Orbitozygomatic Craniotomy and Transsylvian-Transpeduncular Approach for Midbrain Cav Mal Resection

Комментарии

Информация по комментариям в разработке

Похожие видео

  • О нас
  • Контакты
  • Отказ от ответственности - Disclaimer
  • Условия использования сайта - TOS
  • Политика конфиденциальности

video2dn Copyright © 2023 - 2025

Контакты для правообладателей [email protected]