Logo video2dn
  • Сохранить видео с ютуба
  • Категории
    • Музыка
    • Кино и Анимация
    • Автомобили
    • Животные
    • Спорт
    • Путешествия
    • Игры
    • Люди и Блоги
    • Юмор
    • Развлечения
    • Новости и Политика
    • Howto и Стиль
    • Diy своими руками
    • Образование
    • Наука и Технологии
    • Некоммерческие Организации
  • О сайте

Скачать или смотреть Case Discussion : Anterior Mediastinal mass

  • Dr.Hisham AlKhatib
  • 2022-07-17
  • 1867
Case Discussion : Anterior Mediastinal mass
  • ok logo

Скачать Case Discussion : Anterior Mediastinal mass бесплатно в качестве 4к (2к / 1080p)

У нас вы можете скачать бесплатно Case Discussion : Anterior Mediastinal mass или посмотреть видео с ютуба в максимальном доступном качестве.

Для скачивания выберите вариант из формы ниже:

  • Информация по загрузке:

Cкачать музыку Case Discussion : Anterior Mediastinal mass бесплатно в формате MP3:

Если иконки загрузки не отобразились, ПОЖАЛУЙСТА, НАЖМИТЕ ЗДЕСЬ или обновите страницу
Если у вас возникли трудности с загрузкой, пожалуйста, свяжитесь с нами по контактам, указанным в нижней части страницы.
Спасибо за использование сервиса video2dn.com

Описание к видео Case Discussion : Anterior Mediastinal mass

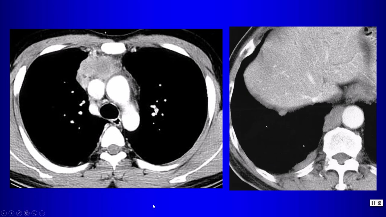
Case Discussion : Anterior Mediastinal mass
Try to answer
where is the mass located
Try to analyze the available radiological signs
see the next step of investigation

Комментарии

Информация по комментариям в разработке

Похожие видео

  • Anterior Mediastinal Disorders | Chest Radiology Essentials
    Anterior Mediastinal Disorders | Chest Radiology Essentials
    2 года назад
  • 20a Anterior Mediastinum
    20a Anterior Mediastinum
    4 года назад
  • Коллапс долей (примеры каждой доли)
    Коллапс долей (примеры каждой доли)
    3 года назад
  • Переднее (превисцеральное) средостение
    Переднее (превисцеральное) средостение
    2 года назад
  • Не ел сахар 365 дней: вот что стало с моим организмом. Это изменит вашу жизнь!
    Не ел сахар 365 дней: вот что стало с моим организмом. Это изменит вашу жизнь!
    1 день назад
  • ⚡️НОВОСТИ | СБИТ РОССИЙСКИЙ ВЕРТОЛЕТ | ЗАПРЕТ НА ВЫЕЗД УЖЕ РАБОТАЕТ | ТРАМП НАЧАЛ ЕЩЕ ОДНУ «СВО»
    ⚡️НОВОСТИ | СБИТ РОССИЙСКИЙ ВЕРТОЛЕТ | ЗАПРЕТ НА ВЫЕЗД УЖЕ РАБОТАЕТ | ТРАМП НАЧАЛ ЕЩЕ ОДНУ «СВО»
    2 часа назад
  • Localising Lesions on Chest Radiographs | A Case-Based Approach | RIISE Workshop
    Localising Lesions on Chest Radiographs | A Case-Based Approach | RIISE Workshop
    2 года назад
  • Approach to Mediastinal Masses
    Approach to Mediastinal Masses
    5 лет назад
  • Posterior and Superior Mediastinum
    Posterior and Superior Mediastinum
    10 лет назад
  • Cardiomegaly: Enlarged Heart - Dr. Gary Sy
    Cardiomegaly: Enlarged Heart - Dr. Gary Sy
    1 год назад
  • GRACEcast-015_Cancer-101_David Djang Interview on PET Scans
    GRACEcast-015_Cancer-101_David Djang Interview on PET Scans
    14 лет назад
  • Mediastinal mass on X-ray made simple #radiology #radiologystudent #chestxray #medicine
    Mediastinal mass on X-ray made simple #radiology #radiologystudent #chestxray #medicine
    2 года назад
  • Incidental Bone Lesions on Chest and Abdominal CT - What Should I Do?
    Incidental Bone Lesions on Chest and Abdominal CT - What Should I Do?
    3 года назад
  • Dr Ravi Ramakantan long case presentation: Chest x-ray with a mediastinal mass
    Dr Ravi Ramakantan long case presentation: Chest x-ray with a mediastinal mass
    7 лет назад
  • Anatomy of Hand X-rays_Revised
    Anatomy of Hand X-rays_Revised
    5 лет назад
  • Mediastinal tumour Case Presentation
    Mediastinal tumour Case Presentation
    5 лет назад
  • IASO Masterclass- Mediastinal tumors
    IASO Masterclass- Mediastinal tumors
    Трансляция закончилась 3 года назад
  • Mediastinal masses approach
    Mediastinal masses approach
    6 лет назад
  • Joint STR/ITMIG Thymic Imaging Webinar
    Joint STR/ITMIG Thymic Imaging Webinar
    2 года назад
  • How to read a pancreas CT
    How to read a pancreas CT
    6 лет назад
  • О нас
  • Контакты
  • Отказ от ответственности - Disclaimer
  • Условия использования сайта - TOS
  • Политика конфиденциальности

video2dn Copyright © 2023 - 2025

Контакты для правообладателей video2contact@gmail.com