Logo video2dn
  • Сохранить видео с ютуба
  • Категории
    • Музыка
    • Кино и Анимация
    • Автомобили
    • Животные
    • Спорт
    • Путешествия
    • Игры
    • Люди и Блоги
    • Юмор
    • Развлечения
    • Новости и Политика
    • Howto и Стиль
    • Diy своими руками
    • Образование
    • Наука и Технологии
    • Некоммерческие Организации
  • О сайте

Скачать или смотреть Aortic Arch "Ideal vs non ideal imaging" - Pediatric Echo Tips Series (1)

  • Pediatric Echo Gallery
  • 2025-10-20
  • 1632
Aortic Arch "Ideal vs non ideal imaging" - Pediatric Echo Tips Series (1)
  • ok logo

Скачать Aortic Arch "Ideal vs non ideal imaging" - Pediatric Echo Tips Series (1) бесплатно в качестве 4к (2к / 1080p)

У нас вы можете скачать бесплатно Aortic Arch "Ideal vs non ideal imaging" - Pediatric Echo Tips Series (1) или посмотреть видео с ютуба в максимальном доступном качестве.

Для скачивания выберите вариант из формы ниже:

  • Информация по загрузке:

Cкачать музыку Aortic Arch "Ideal vs non ideal imaging" - Pediatric Echo Tips Series (1) бесплатно в формате MP3:

Если иконки загрузки не отобразились, ПОЖАЛУЙСТА, НАЖМИТЕ ЗДЕСЬ или обновите страницу
Если у вас возникли трудности с загрузкой, пожалуйста, свяжитесь с нами по контактам, указанным в нижней части страницы.
Спасибо за использование сервиса video2dn.com

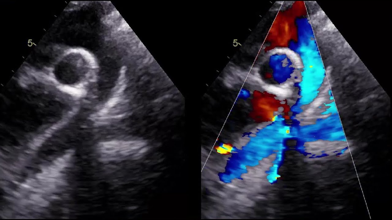
Описание к видео Aortic Arch "Ideal vs non ideal imaging" - Pediatric Echo Tips Series (1)

I am starting short series about common mistakes in pediatric echocardiography imaging.
This video discusses the point of ideal vs non ideal aortic arch in supra sternal window.
To support the channel, you can join its membership or send " Super thanks " below the video.
#congenitalheartdisease #congenitalheartdefects #pediatriccardiology #pediatrics

Комментарии

Информация по комментариям в разработке

Похожие видео

  • О нас
  • Контакты
  • Отказ от ответственности - Disclaimer
  • Условия использования сайта - TOS
  • Политика конфиденциальности

video2dn Copyright © 2023 - 2025

Контакты для правообладателей [email protected]