Logo video2dn
  • Сохранить видео с ютуба
  • Категории
    • Музыка
    • Кино и Анимация
    • Автомобили
    • Животные
    • Спорт
    • Путешествия
    • Игры
    • Люди и Блоги
    • Юмор
    • Развлечения
    • Новости и Политика
    • Howto и Стиль
    • Diy своими руками
    • Образование
    • Наука и Технологии
    • Некоммерческие Организации
  • О сайте

Скачать или смотреть CT of Chronic Shoulder Dislocation

  • Med Education
  • 2025-04-18
  • 1690
CT of Chronic Shoulder Dislocation
MedicineMedEdMedical Educationshoulder dislocationradiologyorthopedic surgerysports medicineemergency medicine
  • ok logo

Скачать CT of Chronic Shoulder Dislocation бесплатно в качестве 4к (2к / 1080p)

У нас вы можете скачать бесплатно CT of Chronic Shoulder Dislocation или посмотреть видео с ютуба в максимальном доступном качестве.

Для скачивания выберите вариант из формы ниже:

  • Информация по загрузке:

Cкачать музыку CT of Chronic Shoulder Dislocation бесплатно в формате MP3:

Если иконки загрузки не отобразились, ПОЖАЛУЙСТА, НАЖМИТЕ ЗДЕСЬ или обновите страницу
Если у вас возникли трудности с загрузкой, пожалуйста, свяжитесь с нами по контактам, указанным в нижней части страницы.
Спасибо за использование сервиса video2dn.com

Описание к видео CT of Chronic Shoulder Dislocation

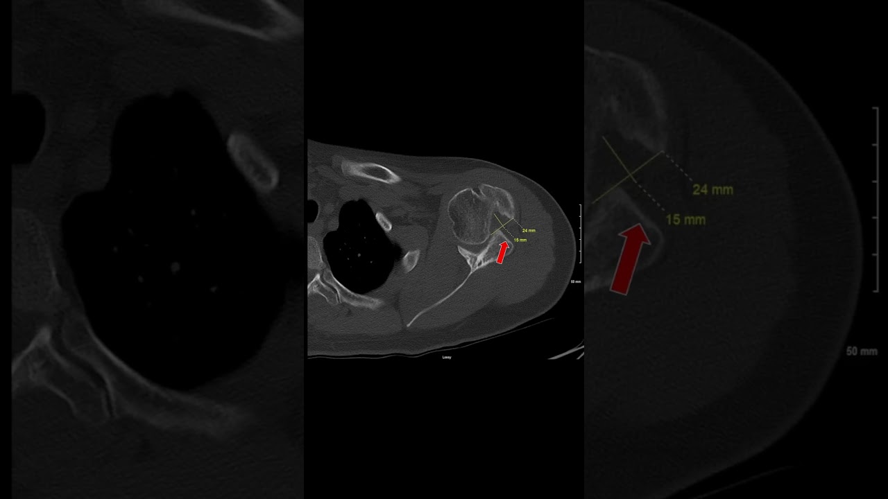
This is the CT of a patient with a chronic shoulder dislocation....

Watch:    • Chronic Shoulder Dislocation  

Read: https://www.sportsmedreview.com/blog/...

---
/* Social Media - Follow Us */
YouTube:    / @mededcases  
Facebook:   / medicaledcases  
Instagram:   / mededcases  
Tiktok:   / mededcases  
LinkedIn:   / medical-education-cases  
Threads: https://www.threads.net/@mededcases
Twitter:   / meded_cases  

/* Support Us */
Paypal: https://www.paypal.com/donate/?busine...
Amazon: https://amzn.to/3JHKu8j

Комментарии

Информация по комментариям в разработке

Похожие видео

  • О нас
  • Контакты
  • Отказ от ответственности - Disclaimer
  • Условия использования сайта - TOS
  • Политика конфиденциальности

video2dn Copyright © 2023 - 2025

Контакты для правообладателей [email protected]