Logo video2dn
  • Сохранить видео с ютуба
  • Категории
    • Музыка
    • Кино и Анимация
    • Автомобили
    • Животные
    • Спорт
    • Путешествия
    • Игры
    • Люди и Блоги
    • Юмор
    • Развлечения
    • Новости и Политика
    • Howto и Стиль
    • Diy своими руками
    • Образование
    • Наука и Технологии
    • Некоммерческие Организации
  • О сайте

Скачать или смотреть Tip-34; Fungal Contamination

  • Maysa Al-Hussaini
  • 2023-08-16
  • 78
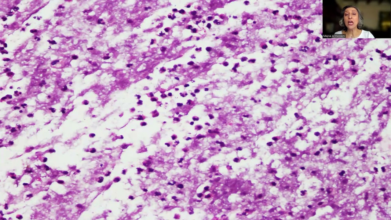
Tip-34; Fungal Contamination
Al-Hussaini Virtual LabDipsFungal contaminationHistopathologyPAS special stain.PathologyPathology TalksPractical TipsSurgical Pathology
  • ok logo

Скачать Tip-34; Fungal Contamination бесплатно в качестве 4к (2к / 1080p)

У нас вы можете скачать бесплатно Tip-34; Fungal Contamination или посмотреть видео с ютуба в максимальном доступном качестве.

Для скачивания выберите вариант из формы ниже:

  • Информация по загрузке:

Cкачать музыку Tip-34; Fungal Contamination бесплатно в формате MP3:

Если иконки загрузки не отобразились, ПОЖАЛУЙСТА, НАЖМИТЕ ЗДЕСЬ или обновите страницу
Если у вас возникли трудности с загрузкой, пожалуйста, свяжитесь с нами по контактам, указанным в нижней части страницы.
Спасибо за использование сервиса video2dn.com

Описание к видео Tip-34; Fungal Contamination

Tip-34;
When encountering a micro-organism in tissue biopsy special stain (PAS, ZN special stain, etc..), make sure that these represent a real micro-organism infection in the tissue and not contamination from the stain solution. If in doubt, a repeat stain is advised. Always remember to look at the periphery of the tissue to ensure there are no micro-organisms in the empty parts of the slides. If still in doubt, you can stain an empty slide with the same special stain, and look for micro-organisms.

Комментарии

Информация по комментариям в разработке

Похожие видео

  • О нас
  • Контакты
  • Отказ от ответственности - Disclaimer
  • Условия использования сайта - TOS
  • Политика конфиденциальности

video2dn Copyright © 2023 - 2025

Контакты для правообладателей [email protected]