Logo video2dn
  • Сохранить видео с ютуба
  • Категории
    • Музыка
    • Кино и Анимация
    • Автомобили
    • Животные
    • Спорт
    • Путешествия
    • Игры
    • Люди и Блоги
    • Юмор
    • Развлечения
    • Новости и Политика
    • Howto и Стиль
    • Diy своими руками
    • Образование
    • Наука и Технологии
    • Некоммерческие Организации
  • О сайте

Скачать или смотреть InLine 6 feldspathic veneers

  • toothnewsVIDEO
  • 2018-03-22
  • 875
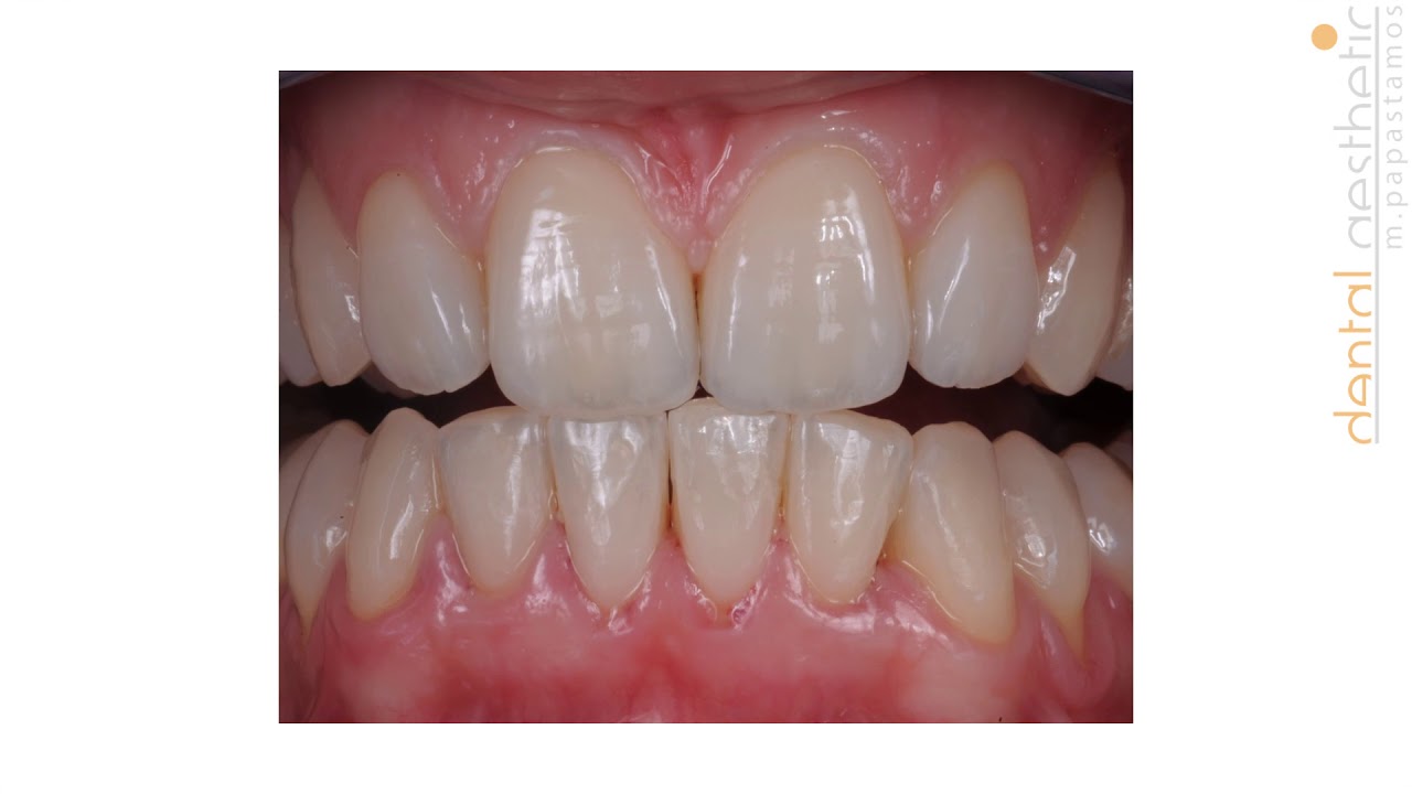
InLine 6 feldspathic veneers
  • ok logo

Скачать InLine 6 feldspathic veneers бесплатно в качестве 4к (2к / 1080p)

У нас вы можете скачать бесплатно InLine 6 feldspathic veneers или посмотреть видео с ютуба в максимальном доступном качестве.

Для скачивания выберите вариант из формы ниже:

  • Информация по загрузке:

Cкачать музыку InLine 6 feldspathic veneers бесплатно в формате MP3:

Если иконки загрузки не отобразились, ПОЖАЛУЙСТА, НАЖМИТЕ ЗДЕСЬ или обновите страницу
Если у вас возникли трудности с загрузкой, пожалуйста, свяжитесь с нами по контактам, указанным в нижней части страницы.
Спасибо за использование сервиса video2dn.com

Описание к видео InLine 6 feldspathic veneers

Περιστατικό από το Οδοντοτεχνικό Εργαστήριο Dental Aesthetic - Παπαστάμος Μιχάλης σε συνεργασία με τον Κλινικό Παπαδόπουλο Γιάννη

Комментарии

Информация по комментариям в разработке

Похожие видео

  • Feldspathic Veneers Shade A3-A2
    Feldspathic Veneers Shade A3-A2
    8 месяцев назад
  • 10 LUX NO PREP VENEERS - CHANGING WHATS POSSIBLE!🤩No shaving, no drilling, NO PAIN!  #noprepveneers
    10 LUX NO PREP VENEERS - CHANGING WHATS POSSIBLE!🤩No shaving, no drilling, NO PAIN! #noprepveneers
    1 год назад
  • О нас
  • Контакты
  • Отказ от ответственности - Disclaimer
  • Условия использования сайта - TOS
  • Политика конфиденциальности

video2dn Copyright © 2023 - 2025

Контакты для правообладателей [email protected]