Logo video2dn
  • Сохранить видео с ютуба
  • Категории
    • Музыка
    • Кино и Анимация
    • Автомобили
    • Животные
    • Спорт
    • Путешествия
    • Игры
    • Люди и Блоги
    • Юмор
    • Развлечения
    • Новости и Политика
    • Howto и Стиль
    • Diy своими руками
    • Образование
    • Наука и Технологии
    • Некоммерческие Организации
  • О сайте

Скачать или смотреть RCC(renal cell carcinoma)

  • sonography in korea sky.
  • 2024-06-13
  • 110
RCC(renal cell carcinoma)
  • ok logo

Скачать RCC(renal cell carcinoma) бесплатно в качестве 4к (2к / 1080p)

У нас вы можете скачать бесплатно RCC(renal cell carcinoma) или посмотреть видео с ютуба в максимальном доступном качестве.

Для скачивания выберите вариант из формы ниже:

  • Информация по загрузке:

Cкачать музыку RCC(renal cell carcinoma) бесплатно в формате MP3:

Если иконки загрузки не отобразились, ПОЖАЛУЙСТА, НАЖМИТЕ ЗДЕСЬ или обновите страницу
Если у вас возникли трудности с загрузкой, пожалуйста, свяжитесь с нами по контактам, указанным в нижней части страницы.
Спасибо за использование сервиса video2dn.com

Описание к видео RCC(renal cell carcinoma)

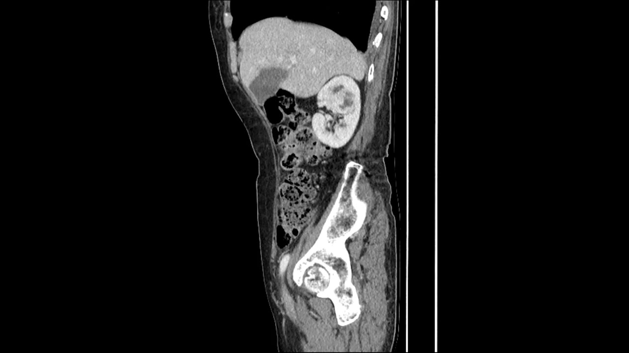
ABDOMEN PELVIS CECT;

Clinical Information:

. 4.6cm well defined Rt renal enhancing tumor
-- probable RCC (REC. BX)
. another two subcentimeter sized both renal cortical cysts
. two hepatic cyst in seg4,7
. 2.1cm enhancing hepatic nodule in seg6/7
-- DDx. hepatic hemangioma
. small amount of pelvic fluid collection

Комментарии

Информация по комментариям в разработке

Похожие видео

  • О нас
  • Контакты
  • Отказ от ответственности - Disclaimer
  • Условия использования сайта - TOS
  • Политика конфиденциальности

video2dn Copyright © 2023 - 2025

Контакты для правообладателей [email protected]