Logo video2dn
  • Сохранить видео с ютуба
  • Категории
    • Музыка
    • Кино и Анимация
    • Автомобили
    • Животные
    • Спорт
    • Путешествия
    • Игры
    • Люди и Блоги
    • Юмор
    • Развлечения
    • Новости и Политика
    • Howto и Стиль
    • Diy своими руками
    • Образование
    • Наука и Технологии
    • Некоммерческие Организации
  • О сайте

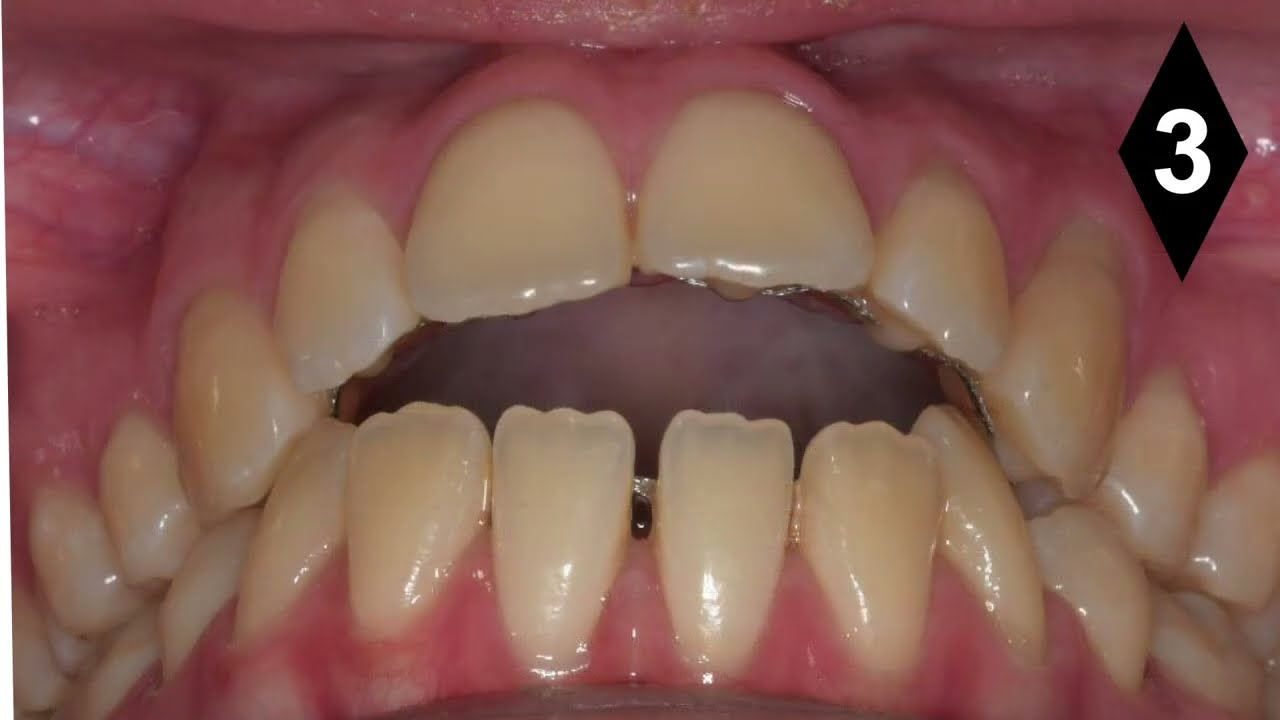
Скачать или смотреть Dientes inferiores por delante de los superiores: Clase III, Prognacia

  • Ventureira & Aguilera Ortodoncia
  • 2016-07-15
  • 28454
Dientes inferiores por delante de los superiores: Clase III, Prognacia
  • ok logo

Скачать Dientes inferiores por delante de los superiores: Clase III, Prognacia бесплатно в качестве 4к (2к / 1080p)

У нас вы можете скачать бесплатно Dientes inferiores por delante de los superiores: Clase III, Prognacia или посмотреть видео с ютуба в максимальном доступном качестве.

Для скачивания выберите вариант из формы ниже:

  • Информация по загрузке:

Cкачать музыку Dientes inferiores por delante de los superiores: Clase III, Prognacia бесплатно в формате MP3:

Если иконки загрузки не отобразились, ПОЖАЛУЙСТА, НАЖМИТЕ ЗДЕСЬ или обновите страницу
Если у вас возникли трудности с загрузкой, пожалуйста, свяжитесь с нами по контактам, указанным в нижней части страницы.
Спасибо за использование сервиса video2dn.com

Описание к видео Dientes inferiores por delante de los superiores: Clase III, Prognacia

Instagram: ortodonciafutura

Se presenta un video tutorial de como se llevó a cabo el tratamiento ortodóncico conservador de una Pseudo Clase III con alto componente dentoalveolar y ligero esquelético. El tramiento fue realizado por los Dres.ventureira & Aguilera en Torrelodoens (Madrid, España). http://ortodonciafutura.com

Комментарии

Информация по комментариям в разработке

Похожие видео

  • Mandíbula Grande (Clase III) Compensada Ortodoncia Plástica Estética (Alineadores Invisibles).
    Mandíbula Grande (Clase III) Compensada Ortodoncia Plástica Estética (Alineadores Invisibles).
    2 года назад
  • Torque negativo em incisivos inferiores
    Torque negativo em incisivos inferiores
    4 года назад
  • Стоматологи мне этого не простят | Вся правда об имплантах
    Стоматологи мне этого не простят | Вся правда об имплантах
    5 дней назад
  • Clinical tip: Midline Correction with Intermaxillary Elastics|【Chris Chang Ortho】CC451
    Clinical tip: Midline Correction with Intermaxillary Elastics|【Chris Chang Ortho】CC451
    8 лет назад
  • Mordida Abierta y Sonrisa Gingival Sin Cirugía
    Mordida Abierta y Sonrisa Gingival Sin Cirugía
    7 лет назад
  • Intrusión de molar con el Bracket Doble Slot
    Intrusión de molar con el Bracket Doble Slot
    1 год назад
  • CAMUFLAJE de ORTODONCIA de MORDIDA CLASE 3 🦎 Ortopedia con HYRAX, Máscara Facial y Extracciones
    CAMUFLAJE de ORTODONCIA de MORDIDA CLASE 3 🦎 Ortopedia con HYRAX, Máscara Facial y Extracciones
    1 год назад
  • Corrige CLASES II Fácilmente: Distalamiento Secuencial con ALINEADORES + MINITORNILLOS
    Corrige CLASES II Fácilmente: Distalamiento Secuencial con ALINEADORES + MINITORNILLOS
    1 год назад
  • Mordida Abierta (Open Bite) Ortodoncia Plástica  (Invisalign) Sin Cirugía
    Mordida Abierta (Open Bite) Ortodoncia Plástica (Invisalign) Sin Cirugía
    3 года назад
  • CC382. Clinical Tips CIII FS
    CC382. Clinical Tips CIII FS
    9 лет назад
  • Reposicionamiento mandibular y MEAW - GEAW para mejorar el perfil en clase III esquelética
    Reposicionamiento mandibular y MEAW - GEAW para mejorar el perfil en clase III esquelética
    1 год назад
  • ORTOCERVERA / Tracción de Canino Incluido con Fuerzas Elásticas - Autoligado Camaleón
    ORTOCERVERA / Tracción de Canino Incluido con Fuerzas Elásticas - Autoligado Camaleón
    12 лет назад
  • Amazing Class III Open Bite
    Amazing Class III Open Bite
    14 лет назад
  • ARCO VESTIBULAR ACESSÓRIO (para expansão dentoalveolar)
    ARCO VESTIBULAR ACESSÓRIO (para expansão dentoalveolar)
    10 лет назад
  • Sobremordida Extrema: ¡me muerdo el paladar con los dientes inferiores!
    Sobremordida Extrema: ¡me muerdo el paladar con los dientes inferiores!
    12 лет назад
  • 【Chris Chang Ortho】CC442.
    【Chris Chang Ortho】CC442.
    8 лет назад
  • Manejo de un caso clínico clase III
    Manejo de un caso clínico clase III
    11 лет назад
  • Corrección de mordida y espacios dentales
    Corrección de mordida y espacios dentales "Ortodoncia"
    8 лет назад
  • ORTOCERVERA / Ortodoncia: Asas en U - Compensación Oclusal - Módulos y Elásticos
    ORTOCERVERA / Ortodoncia: Asas en U - Compensación Oclusal - Módulos y Elásticos
    12 лет назад
  • Tratamiento Disyunción Máscara Facial en Clase III Esquelética: 12 años de evolución.
    Tratamiento Disyunción Máscara Facial en Clase III Esquelética: 12 años de evolución.
    5 лет назад
  • О нас
  • Контакты
  • Отказ от ответственности - Disclaimer
  • Условия использования сайта - TOS
  • Политика конфиденциальности

video2dn Copyright © 2023 - 2025

Контакты для правообладателей video2contact@gmail.com